Hiện tượng sún răng sữa ở trẻ em là một vấn đề phổ biến, đồng thời đặt ra những lo ngại về sức khỏe nướu và răng của các bé trong tâm trí của bậc phụ huynh. Hãy cùng khám phá cách giải quyết và phòng ngừa tình trạng trẻ bị sún răng sữa thông qua những kiến thức hữu ích từ OnfaStore!
Tìm hiểu về tình trạng trẻ bị sún răng sữa
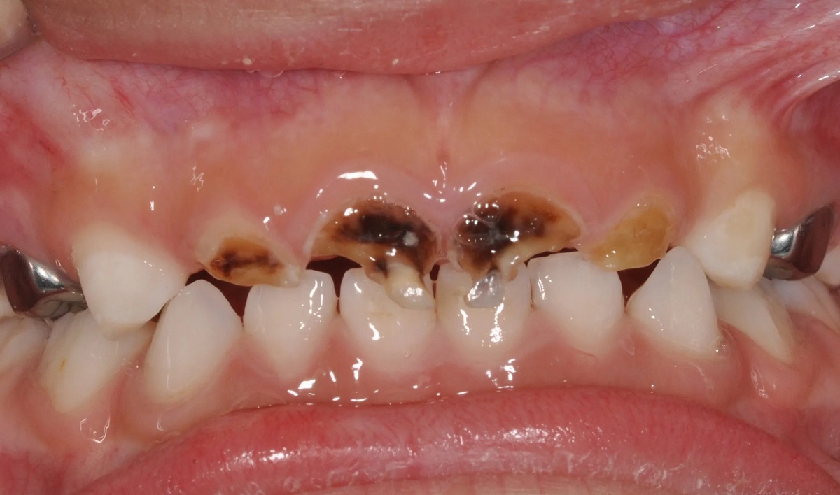
Sún răng thường là hiện tượng phổ biến ở độ tuổi nhỏ, đặc biệt là từ 1 đến 3 tuổi, do men răng và ngà răng của trẻ còn yếu và chứa ít canxi. Sự tổn thương của men răng là nguyên nhân chính dẫn đến tình trạng răng trẻ mềm mại và giảm kích thước, gọi là sún răng.
Khác với những vấn đề răng khác, trẻ bị sún răng sữa gây đau đớn và thường xuất hiện ở bề mặt răng với diện tích lớn, thường có màu đen hoặc nâu. Các dấu hiệu sún răng, như vết mềm ở đáy, thường xuất hiện ở giai đoạn phát triển ban đầu. Điều cần lưu ý là tình trạng này có thể lan rộng nhanh chóng nếu không được kiểm soát kịp thời.
Nếu không được chăm sóc hoặc điều trị, sún răng có thể dẫn đến hình thành hàm răng trẻ chỉ còn các mảnh răng nhỏ ở phía gần nướu, với chân răng chật chội gần lợi. Tình trạng này ảnh hưởng đến khả năng nhai, nuốt và giao tiếp của trẻ. Do đó, việc theo dõi và duy trì sức khỏe răng miệng cho trẻ trong giai đoạn này rất quan trọng để tránh sún răng và bảo vệ sức khỏe răng của trẻ một cách toàn diện.

Những nguyên nhân phổ biến khiến trẻ bị sún răng sữa
Có nhiều nguyên nhân gây sún răng ở trẻ nhỏ, đa dạng từ thói quen dinh dưỡng đến yếu tố sinh học:
- Mức tiêu thụ cao đường từ thực phẩm ngọt, đồ ăn nhanh, và đồ uống có ga, cùng việc không làm sạch răng sau khi uống sữa trước khi đi ngủ, đều đóng góp vào tình trạng này.
- Sự thiếu hụt sản men răng có thể bắt nguồn từ sinh non, thiếu canxi, việc sử dụng kháng sinh, hoặc việc tiêu thụ sữa vào buổi tối chứa nhiều đường, có thể ảnh hưởng đến sự phát triển của men răng và tăng khả năng trẻ bị sún răng sữa.
- Rủi ro về sâu răng lan rộng hoặc chế độ dinh dưỡng không cân đối cũng có thể gây hại cho sức khỏe răng.
- Việc sử dụng các loại thuốc kháng sinh như Tetracycline và Doxycycline trong thời kỳ thai nghén có thể dẫn đến việc men răng phát triển không đủ chất lượng và dễ bị tổn thương.
- Quy trình chăm sóc răng miệng không đúng cách, bao gồm cả việc không đánh răng đều đặn và không sử dụng kem đánh răng có chứa fluoride, có thể tạo điều kiện thuận lợi cho vi khuẩn xâm nhập vào men răng và gây ra tình trạng sún răng.
- Trẻ nhỏ mắc bệnh vàng da cũng có thể ảnh hưởng đến sức khỏe của men răng, làm cho chúng trở nên yếu và dễ bị tổn thương.

Tác hại khôn lường khi trẻ bị sún răng sữa bố mẹ không nên chủ quan
Vấn đề của việc sún răng ở trẻ em không chỉ gây lo ngại về mặt sức khỏe mà còn tác động đến nhiều khía cạnh khác của sự phát triển. Khi răng sữa bị mất sớm do sún, việc thay thế chúng trở nên khó khăn, tạo ra những thách thức lớn đối với chế độ ăn uống, tiêu hóa, và kỹ năng phát âm của trẻ.
Không chỉ vậy, môi trường thuận lợi cho sự phát triển của vi khuẩn có hại xuất hiện khi răng sữa bị sún, không chỉ ảnh hưởng đến chúng mà còn đe dọa đến sức khỏe lâu dài của răng và nướu. Vấn đề nặng nề hơn là hỏng răng và tủy răng bị hở, tạo ra cảm giác đau đớn khi ăn uống, tăng nguy cơ quấy khóc và biếng ăn, có thể ảnh hưởng đến toàn diện sự phát triển của trẻ.
Ngoài ra, trẻ bị sún răng sữa đặc biệt là răng cửa không chỉ gây mất thẩm mỹ mà còn tăng nguy cơ phát triển tình trạng nói ngọng. Trẻ gặp khó khăn trong việc phát âm, ảnh hưởng đến khả năng giao tiếp và tạo sự tự tin khi tương tác với người khác. Hơn nữa, tình trạng sún răng có thể tác động đến quá trình mọc răng chuẩn của trẻ, tạo ra độ chệch về vị trí và hình dạng của răng vĩnh viễn, đồng thời gây ra nhiều vấn đề liên quan đến thẩm mỹ và đau đớn cho trẻ trong tương lai.

Phòng ngừa và chữa trị khi trẻ bị sún răng sữa như thế nào?
Vệ sinh răng cho bé đúng cách
Chăm sóc răng miệng cho bé không chỉ là một trách nhiệm quan trọng mà còn đòi hỏi sự tận tâm đặc biệt từ phía cha mẹ. Khi những chiếc răng sữa đầu tiên của bé bắt đầu hiện hình, hãy sử dụng một chiếc khăn mềm để làm sạch răng của bé mỗi buổi sáng và sau mỗi bữa ăn.
Khoảng 2 tuổi, bộ răng bé đã hoàn thiện, cha mẹ nên thay đổi phương pháp chăm sóc răng miệng của bé. Trong quá trình đánh răng cho bé, hãy sử dụng kem đánh răng chứa fluoride để ngăn chặn sự xuất hiện của sâu răng. Đối với những bé thích ăn đồ ngọt và hay ăn vặt, việc chải răng ngay sau khi ăn là quan trọng để phòng tránh tình trạng trẻ bị sún răng sữa và sâu răng.
Khi bé đạt đến 3 tuổi, hãy khuyến khích bé tự chải răng theo cách đúng. Hướng dẫn bé chải răng từ trên xuống và đảm bảo chải đủ cả 3 mặt của răng: phía ngoài, trên cùng và phía trong, ít nhất là 2 lần/ngày – 1 lần sáng khi thức dậy và 1 lần buổi tối trước khi đi ngủ. Việc này sẽ giúp hình thành thói quen vệ sinh răng miệng tốt cho bé từ khi còn rất nhỏ.

Lưu ý về thực đơn hạn chế trẻ bị sún răng sữa
Trong giai đoạn chuyển đổi từ răng sữa sang răng vĩnh viễn, việc đặc biệt quan tâm đến chế độ dinh dưỡng của bé trở nên quan trọng hơn bao giờ hết. Cha mẹ cần thêm vào thực đơn hàng ngày của bé những thực phẩm giàu canxi và flour để hỗ trợ quá trình phát triển của răng. Hãy hạn chế tối đa việc sử dụng các thực phẩm có thể ảnh hưởng đến sức khỏe răng của bé, như bánh kẹo, nhằm bảo vệ hệ thống nướu và răng của bé một cách tốt nhất.
Chú ý về vấn đề sử dụng thuốc cho bé
Trong quá trình xem xét việc sử dụng thuốc cho trẻ, cần lưu ý rằng việc sử dụng kháng sinh có thể tác động đến sức khỏe răng của trẻ, gây ra các vấn đề như vàng răng, hỏng men răng, và thậm chí thay đổi màu sắc của răng, những vấn đề khó khắc phục. Vì vậy, để bảo vệ sức khỏe và hạn chế trẻ bị sún răng sữa, cha mẹ nên tỏ ra cẩn trọng và không sử dụng kháng sinh một cách không có lý do cụ thể từ bác sĩ.
Loại bỏ những thói quen xấu
Để giữ cho nụ cười của nhỏ tỏa sáng, cha mẹ cần tập trung vào việc loại bỏ những thói quen không mấy tốt. Hạn chế việc cho bé sử dụng bình hoặc ngậm bình sữa khi đi ngủ, và tránh để bé sử dụng răng để cắn những đồ vật cứng. Ngay sau khi bé kết thúc bữa sữa đêm, hãy đảm bảo bé súc miệng bằng nước lọc.
Để tránh ảnh hưởng đến nụ cười của bé, hãy ngừng thói quen bú đêm khi bé đạt đến 8 – 10 tháng tuổi, giúp duy trì giấc ngủ tốt, hỗ trợ sự phát triển chiều cao và giảm nguy cơ trẻ bị sún răng sữa. Đối với các bé thích ngậm cơm, cha mẹ cần kiểm tra miệng của bé sau mỗi bữa ăn để tránh thức ăn dư thừa bám vào kẽ răng, gây ra tình trạng sún răng.
Đưa trẻ đi khám răng định kỳ
Để bảo vệ sức khỏe răng của trẻ nhỏ, việc đưa họ đến kiểm tra nha khoa định kỳ được xem là quan trọng vô cùng. Tốt nhất là cha mẹ nên đưa trẻ đi kiểm tra răng mỗi 3 – 6 tháng một lần. Đặc biệt, nếu có bất kỳ dấu hiệu nào về sự sớm sụn răng hoặc sự lệch lạc của răng sữa, việc đưa trẻ đến thăm chuyên gia nha khoa tại các bệnh viện uy tín là hết sức quan trọng. Điều này giúp bác sĩ đặt ra đúng chẩn đoán về tình trạng của trẻ và áp đặt các phương pháp phòng ngừa để tránh tình trạng răng mọc không đều hoặc mọc chen chúc trong tương lai.

Để ngăn chặn tình trạng trẻ bị sún răng sữa, có thể thực hiện bằng cách duy trì vệ sinh răng miệng, tuân thủ các thói quen sống khoa học và đưa trẻ đến kiểm tra răng theo định kỳ. Ngoài ra, việc thay đổi thói quen và cải thiện chế độ dinh dưỡng cũng đóng vai trò quan trọng trong việc hỗ trợ sự phát triển của răng. Bổ sung các khoáng chất quan trọng như kẽm, lysine, vitamin B1 và các dưỡng chất khác cũng giúp đảm bảo rằng trẻ nhận đủ lượng dinh dưỡng cần thiết để phát triển mạnh mẽ và có một hàm răng khỏe mạnh.
>>>Xem thêm: Đôi nét về dòng tã Yingbo tại Việt Nam
Lời kết
Trên đây đây là một số kiến thức liên quan đến việc chăm sóc và phòng tránh tình trạng trẻ bị sún răng sữa. Bạn có thể tìm thấy những gợi ý hữu ích từ OnfaStore trong bài viết này, giúp bạn duy trì và bảo vệ sức khỏe răng miệng của bé ngay từ khi còn nhỏ. Chúng tôi hy vọng rằng những thông tin này sẽ cung cấp cho bạn những biện pháp để giữ cho nụ cười của con luôn rạng ngời.

